ENGIP

April 2022

Sessile Polyp from the right colic flexure of a 68-year-old female with Crohn’s disease.

 

 

 

Diagnosis

Osseous metaplasia within an inflammatory pseudopolyp.

Comment

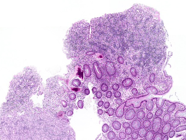
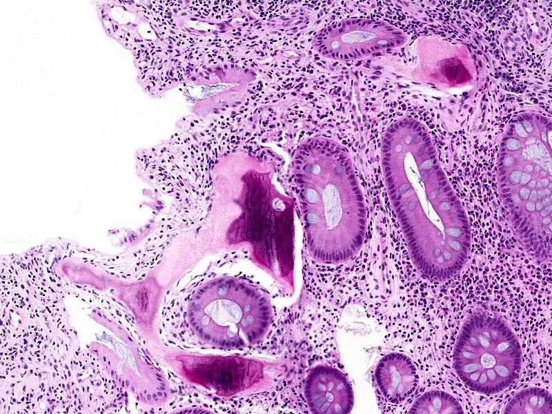
A 68-year-old female with known Crohn’s disease underwent surveillance colonoscopy. A four millimetre sessile polyp was detected at the right colonic flexure and removed endoscopically (Panel A).

H&E sections of the specimen demonstrate a polypoid projection of the mucosa with focal architectural distortion in form of irregularly dilated and branched crypts, lined by columnar epithelium without dysplasia. Large parts of the polyp were composed of granulation tissue with mixed inflammatory infiltrate, rich vascular network and fibroblastic stroma. Adjacent to the colonic crypts small areas of mineralized woven bone formation with vital osteocytes were identified (Panels B-C).

Osseous metaplasia has been observed in various types of tissue, associated with neoplastic as well as non-neoplastic conditions. Benign lesions often showed active chronic inflammation and ulceration alongside areas of osseous metaplasia, suggesting that persistent inflammation may play a role in osteogenic stimulation under the influence of transcription factors, such as bone morphogenic proteins (BMPs). This concept is underpinned by our case, which shows foci of bone formation within an inflammatory pseudopolyp that occurred against the background of chronic inflammatory bowel disease.

In summary, osseous metaplasia in benign colonic polyps constitutes a rare incidental finding, without prognostic or clinical significance.

For further reading

  • Dabir PD, van der Post RS, Nagtegaal ID. Incidental morphological findings in colorectal adenomas. Histopathology. 2021; 78: 348-357. doi:10.1111/his.14263
  • Odum BR, Bechtold ML, Diaz-Arias A. Osseous metaplasia in an inflammatory polyp of the rectum: A Case Report and Review of the Literature. Gastroenterology Res. 2012; 5: 74-78. doi:10.4021/gr417w
  • Oono Y, Fu KL, Nakamura H, Iriguchi Y, Oda J, Mizutani M, Yamamura A, Kishi D. Bone formation in a rectal inflammatory polyp. World J Gastrointest Endosc. 2010; 2: 104-106. doi: 10.4253/wjge.v2.i3.104

Presented by

Dr. Natalia Lipskaia and Dr. Alexander Nader, MSc, Vienna, Austria.