ENGIP

February 2022

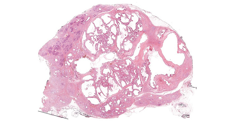
62-year-old female patient, distal resection of the pancreas.

 

 

 

Diagnosis

Gastric-type intraductal papillary mucinous neoplasm (IPMN, branch duct type).

Comment

A 62-year-old female patient presented to the hospital with unspecific abdominal pain in May 2021. Ultrasound and CT examination revealed a 20 mm, tumour-like lesion in the tail of the pancreas with cystic morphology that was considered as a benign proliferation. In November 2021, the patient went back to hospital for a control examination. As the lesion had markedly increased in size during the six months, surgical removal of the lesion was performed.

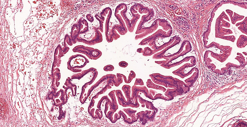
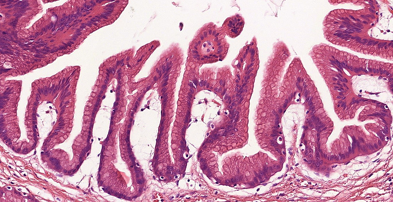
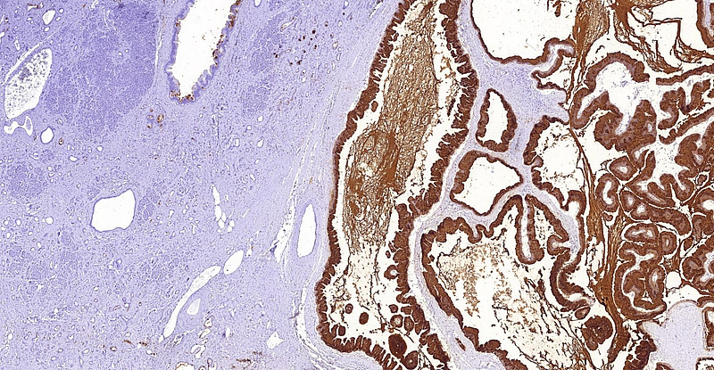
The operation specimen showed a well-circumscribed, multilocular, cystic lesion measuring 35 mm in largest dimension. Microscopic examination showed intraductal / intracystic papillary proliferations. The cells were reminiscent of gastric foveolar epithelium with apical mucin cap and mild atypia. Focal oncocytic change was also visible. Ovarian-like stroma was not detected. Intestinal or pancreatobiliary differentiation as well as invasive components were not identified (Panels A-C).

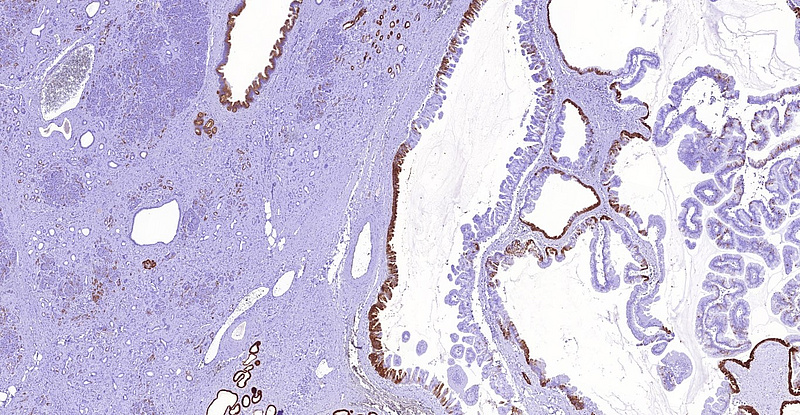
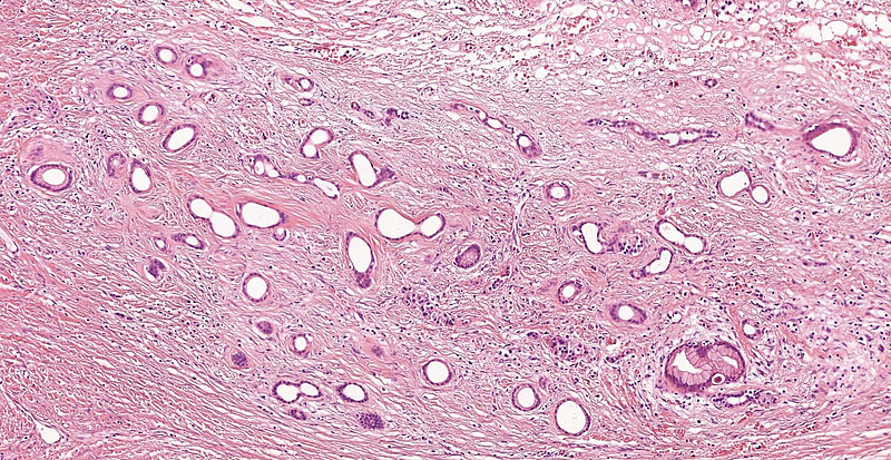
Immunohistochemistry demonstrated diffuse positivity for MUC5AC (Panel D). MUC6 was focally positive within the oncocytic component of the tumour (Panel E). Of note, intra- and interlobular fibrosis with remarkable atrophy of the acini was detected in the non-neoplastic area of the pancreas, mimicking well-differentiated (tubular) invasive carcinoma (Panel F). Endocrine cells were comparatively spared and the lobocentric architecture was preserved.

Intraductal papillary mucinous neoplasms (IPMNs) are mucin-producing neoplasms of the pancreas, with potential malignant transformation to invasive pancreatic ductal adenocarcinoma.

Three subtypes are defined, according to the affected region of the pancreatic ductal system: In case of involvement of the main pancreatic duct, main duct IPMN (MD-IPMN) is used, while the ones deriving from the ductal branches are called branch duct IPMN (BD-IPMN). The third group includes lesions that originate from both ducts, and is called mixed-type (MT-IPMN). The malignancy risk is higher in MD-IPMNs and in MT-IPMNs than in BD-IPMNs.

The aetiology of IPMNs is yet unclear. Few conditions were already identified as possible risk factors, including diabetes mellitus, chronic pancreatitis, smoking and family history of pancreatic ductal adenocarcinoma. The median age at diagnosis is around 60-70 years, with female predominance.

The most common symptoms are stomach-ache, weight loss, diarrhoea, steatorrhoea, pancreatitis, diabetes and jaundice. Today, however, most cases are asymptomatic and detected incidentally in image analyses performed for other reasons. Based upon image findings, that is, the potential identification of so-called “worrisome features”, it is up to the multidisciplinary team to decide the optimal approach for the patient, which may range from surgery to observation.

Of note, IPMNs were also reported in Peutz-Jeghers syndrome and in familial adenomatous polyposis (FAP). Regarding differential diagnosis, PanIN (may show similar morphology, but can easily be excluded by lesion size), intraductal oncocytic papillary neoplasm, intraductal tubulopapillary neoplasm, mucinous cystic neoplasm and mucinous or retention cyst have to be considered. KRAS, GNAS and RNF43 were the most common mutations found in IPMNs. RNF43 mutations were connected with a worse prognosis in invasive IPMN patient.

For further reading

  • Capurso G, Boccia D, Salvia R, et al. Risk factors for intraductal papillary mucinous neoplasm (IPMN) of the pancreas: a multicentre case-control study. Am J Gastroenterol. 2013; 108: 1003-1009.
  • Dumlu EG, Karakoç D, Özdemir A. Intraductal papillary mucinous neoplasm of the pancreas: current perspectives. Int Surg. 2015; 100: 1060-1068.
  • Fong ZV, Castillo CFD. Intraductal papillary mucinous neoplasm of the pancreas. Surg Clin North Am. 2016; 96: 1431-1445.
  • Lee JH, Kim Y, Choi JW, et al. KRAS, GNAS, and RNF43 mutations in intraductal papillary mucinous neoplasm of the pancreas: a meta-analysis. Springerplus. 2016;  5(1): 1172.
  • Tanaka M. Intraductal papillary mucinous neoplasm of the pancreas as the main focus for early detection of pancreatic adenocarcinoma. Pancreas. 2018; 47: 544-550.
  • Borgo CD, Perri C, Borin A, et al. The clinical management of main duct intraductal papillary mucinous neoplasm of the pancreas. Dig Surg. 2019; 36: 104-110.

Presented by

Dr. Fanni Hegedűs, Szeged, Hungary, Dr. Anita Sejben, Szeged, Hungary.