ENGIP

January 2023

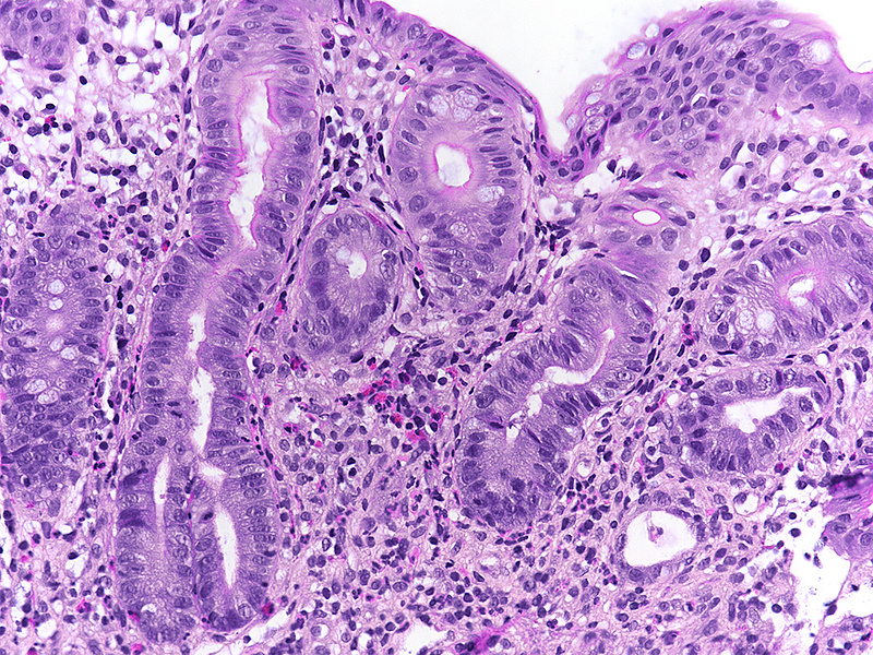
Biopsy material from the right colon in a 48-year-old male.

 

 

Diagnosis

NSAID colonopathy.

Comment

A 48-year-old male presented with mild abdominal pain, no diarrhoea. The history of the patient disclosed severe osteoarthritis (arthrosis), affecting hips and knees. He was regularly taking non-steroidal anti-inflammatory drugs (NSAID), specifically diclofenac (75 mg – 0 – 75 mg), supplemented by proton pump inhibitors (PPI) to prevent NSAID-induced mucosal damage. Endoscopic evaluation of the lower gastrointestinal tract was performed and revealed mild unspecific inflammatory changes within the right colon, with erosion in the coecum. Biopsies were taken from coecum and ascending colon.

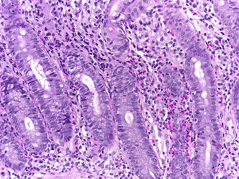
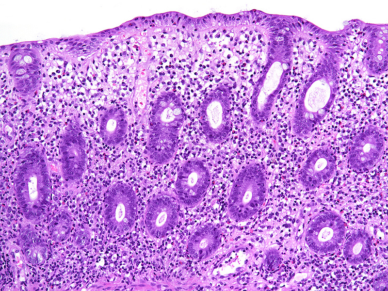
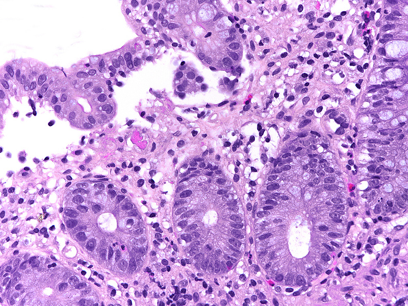
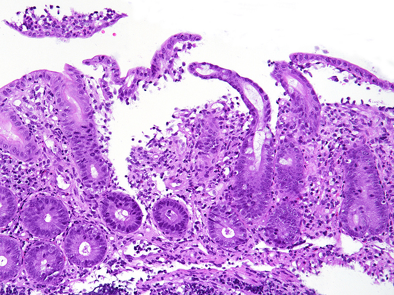
Histologically, the architecture of the mucosa showed mild architectural distortion. The cell content within the mucosa was increased, with predominance of monuclear cells, that is, lymphocytes and plasma cells (Panels A-B). High magnification revealed mild basal plasmactytosis and additional neutrophil granulocytes in stroma and crypt epithelium (cryptitis) as well as clusters of eosinophils (Panel C). The crypt epithelium showed reactive changes, with loss of goblet cells, variation in nuclear size with small nucleoli, and increased apoptosis. Withered crypts were only occasionally seen (Panel D). Superficial erosion and regenerative epithelium were identified in the coecum (Panel E), with rare superficial intracapillary fibrin thrombi (Panel F).

NSAIDs are among the most common drugs causing medication-induced injury to the gastrointestinal tract. In the stomach, we typically find the morphological changes of reactive gastropathy, which can either be caused by drugs or by bile reflux into the distal stomach. When, however, reactive gastropathy coincidences with similar changes in the duodenum, particular the duodenal bulb (“reactice duodenopathy”), this may be taken as strong indicator for drug injury. Of note, PPI use may prevent NSAID-induced changes in the stomach, but they do not affect the incidence of NSAID-induced changes in the lower gastrointestinal tract.

Within the colon, several pattern may be observed. They all have in common that the right colon, in particular the region around the ileocoecal valve, is predominantly affected. Changes that are comparable to early inflammatory bowel disease (“incidental chronic colitis”) may be seen, but transmucosal increase of chronic inflammatory cells with basal plasmacytosis and architectural distortion are generally mild. Intraepithelial lymphocytes may be found to be increased (up to the morphology of lymphocytic colitis, with or without subepithelial collagen deposition). Mucosal defects, erosions and/or ulcers, may demonstrate a somewhat ischaemic picture (due to impaired microcirculation), and rarely, as in this cage, intracapillary microthrombi may be found. The combination of these findings with eosinophils and increased crypt cell apoptosis should ultimately raise the suspicion of drug-induced changes.

For further reading

  • Lee FD. Importance of apoptosis in the histopathology of drug related lesions in the large intestine. J Clin Pathol. 1993; 46: 118-22. doi: 10.1136/jcp.46.2.118.
  • Lee FD. Drug-related pathological lesions of the intestinal tract. Histopathology. 1994 Oct; 25: 303-8. doi: 10.1111/j.1365-2559.1994.tb01347.x.
  • Goldstein NS, Cinenza AN. The histopathology of nonsteroidal anti-inflammatory drug-associated colitis. Am J Clin Pathol. 1998; 110: 622-8. doi: 10.1093/ajcp/110.5.622.
  • Genta RM. The sad NSAID colon. Adv Anat Pathol. 1999; 6: 213-7.
  • Parfitt JR, Driman DK. Pathological effects of drugs on the gastrointestinal tract: a review. Hum Pathol. 2007; 38: 527-36. doi: 10.1016/j.humpath.2007.01.014.
  • Deshpande V, Hsu M, Kumarasinghe MP, Lauwers GY. The clinical significance of incidental chronic colitis: a study of 17 cases. Am J Surg Pathol. 2010; 34: 463-9. doi: 10.1097/PAS.0b013e3181d0fd76.
  • McCarthy AJ, Lauwers GY, Sheahan K. Iatrogenic pathology of the intestines. Histopathology. 2015; 66: 15-28. doi: 10.1111/his.12598.

Presented by

Dr. Cord Langner, Graz, Austria.