ENGIP

March 2024

Gastric biopsy in a a 68 year-old female.

Diagnosis

Pseudo signet ring cells (crush artifact).

Comment

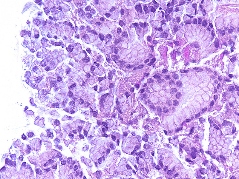
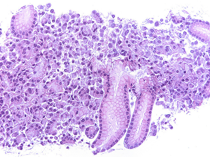
A 68 year-old female underwent gastroscopy for mild epigastric discomfort.  The endoscopic findings were unremarkable, and routine biopsies were taken. On histology, within the corpus there were groups of sloughed, haphazardly arranged mucus neck cells at the mucosal surface that displayed centrally placed intracellular mucous vacuoles and eccentric nuclei. There was no visible nuclear enlargement or hyperchromasia (Panels A and B).

Mucus secreting cells located in the gastric pit neck region of fundic-type mucosa (mucus neck cells) represent the mucosal stem cell niche. When these cells become sloughed, dispersed, or crushed as result of manipulation, they may raise concern for signet ring cell adenocarcinoma. This finding represents a potential diagnostic pitfall that may result in dire consequences for the patient, as well as medicolegal consequences for the reporting pathologist. In contrast to signet ring cell adenocarcinoma, the nuclear contours of mucus neck cells are uniform and smooth, while the chromatin is of fine structure. No mitotic figures are seen. Unfortunately, as cytokeratin and PAS are both positive in mucus neck cells, they cannot aid in the distinction from adenocarcinoma and the diagnosis relies solely upon H&E morphology and awareness of this phenomenon. Besides cytomorphology, another helpful feature is the fact that mucus neck cells are in fact never dislodged within the lamina propria, but always in some sort of crease at the surface or at foci where the surface epithelium is artificially discontinued (admittedly, it may be slightly hard to assess this in certain cases).

Glassy cell change (vacuolization) of deep fundic gland cells (quite common in heterotopic gastric mucosa within the duodenal bulb), represents another diagnostic pitfall that has been reported before as ENGIP Case of the Month in May 2014.

For further reading

  • C Rubio C, Kato Y, Kitagawa T, Sugano H. A pitfall in the interpretation of intestinal metaplasia of the stomach. Acta Pathol Microbiol Immunol Scand A. 1986; 94: 165-6.
  • Hughes C, Greywoode G, Chetty R. Gastric pseudo-signet ring cells: a potential diagnostic pitfall. Virchows Arch. 2011; 459: 347-9.
  • Arnason T, Lauwers GY. Extruded highly proliferative benign mucous neck cells: a peculiar histologic mimic of poorly cohesive gastric carcinoma. Int J Surg Pathol. 2014; 22: 623-8.
  • Coyne JD, Thampy S. Fundic Gland Polyp With Parietal Cell Vacuolation Mimicking Signet Ring Cell Carcinoma. Int J Surg Pathol. 2021;29 : 503-5.

Presented by

Dr. Zlatko Marusic, Zagreb, Croatia, and Dr. Cord Langner, Graz, Austria.