ENGIP

May 2023

Oesophageal biopsy from an 82-year-old female.

Diagnosis

Herpes simplex virus oesophagitis.

Comment

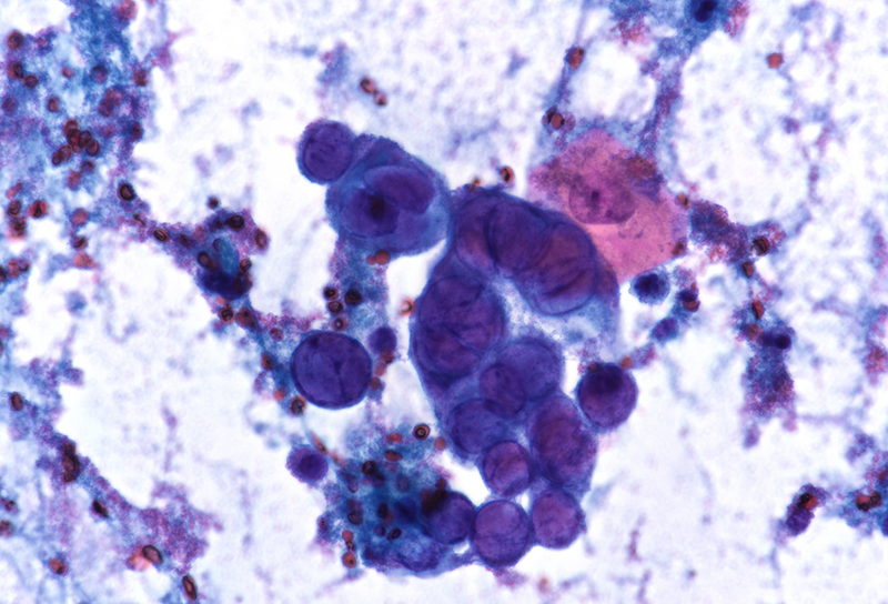
An 82-year-old female underwent upper endoscopy prompted by unspecific abdominal pain and iron deficiency anaemia. The procedure disclosed an ulcer in the distal stomach that had developed against a background of reactive gastropathy. The oesophagus was diffusely inflamed, displaying whitish plaques that could not be scrapped (Panels A-B).  Cytological brushes and biopsies were taken.

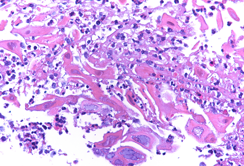
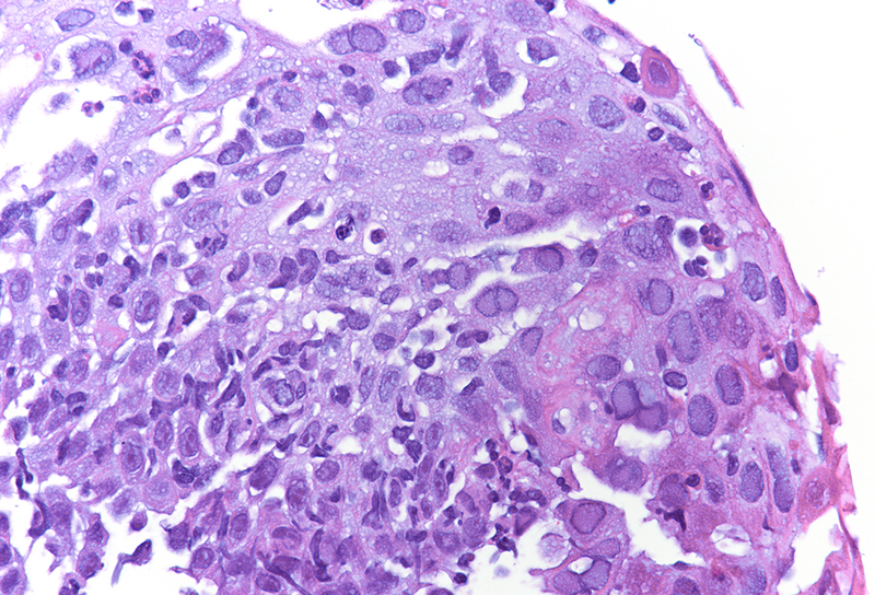
Cytology disclosed groups of squamous cells with enlarged ground-glass nuclei with homogenous chromatin pattern and multinucleation (Panels C-D). Upon histology, we observed multiple fragments of squamous epithelium with degenerating features admixed with inflammatory detritus. The nuclei of the squamous cells displayed ground-glass morphology as documented in the cytological material (Panels E-F). Immunostaining for Herpes simplex virus (HSV) I and II was positive (Panels G-H).

HSV accounts for 10% of all infectious oesophagitides and is considered the most common viral cause, mostly due to HSV-I. Primarily, it occurs in immunosuppressed patients (prior chemotherapy, solid and bone marrow transplantation recipients, and HIV infection), but may also encounter in healthy immunocompetent individuals with usually mild symptoms, as a self-limited infection.

Herpetic ulcers are usually superficial from a few microns to few cm, preferably located in the middle and distal oesophagus. Grossly, HSV esophagitis lesions are grouped into three types: (i) small, punched out lesions with raised margins, coated with yellowish exudate, (ii) small, punched out lesions without raised margins or exudate and (iii) multiples ulcers, with a map-like confluent appearance over the entire oesophagus, often surrounded by normal-appearing mucosa.

Histologically, the virus infects oesophageal squamous epithelium, typically at the superficial lateral margin of ulcers and erosions. The morphological diagnostic criteria include: (i) dense intranuclear eosinophilic to amphophilic round inclusion bodies with a clear halo separated from the nuclear membrane (Cowdry A inclusions), (ii) ground-glass nuclei with homogenous chromatin pattern, (iii) nuclear molding, (iv) multinucleated syncytia giant cells and (v) detached ballooning degeneration of infected cells. Immunohistochemistry studies is helpful in equivocal cases.

For further reading

  • Ramanathan J, Rammouni M, Baran J Jr, et al. Herpes simplex virus esophagitis in the immunocompetent host: an overview. Am J Gastroenterol. 2000 Sep;95(9):2171-6.
  • Généreau T, Rozenberg F, Bouchaud O, et al. Herpes esophagitis: a comprehensive review. Clin Microbiol Infect. 1997 Aug;3(4):397-407.
  • Zakharia K, Tabibian JH. Infectious esophagitis in the immunosuppressed: Candida and beyond. J Community Med (Reno). 2018;1:1004.
  • Desai N, Albahra S, Lucas E, et al. Clinical and Histopathologic Features Can Help Target Immunohistochemical Stain Use in the Diagnosis of Viral Esophagitis. Appl Immunohistochem Mol Morphol. 2021 Nov-Dec 01;29(10):713-719.
  • Wang HW, Kuo CJ, Lin WR, et al. Clinical Characteristics and Manifestation of Herpes Esophagitis: One Single-center Experience in Taiwan. Medicine (Baltimore). 2016 Apr;95(14):e3187.

Presented by

Dr. Rafael Moiteiro da Cruz, Lisbon, Portugal, Dr. Hans Peter Gröchenig, St. Veit an der Glan, and Dr. Cord Langner, Graz, Austria.