ENGIP

October 2022

Antrum biopsy from a 52-year-old female.

Diagnosis

Tactile corpuscle (Wagner-Meissner) – like body.

Comment

The 52-year-old female presented with unspecific abdominal discomfort. She had no signs of neurofibromatosis type 1, multiple endocrine neoplasia type 2B, Cowden syndrome, or other inherited syndrome. Gastroscopy was performed and showed mild inflammatory changes within the antrum.

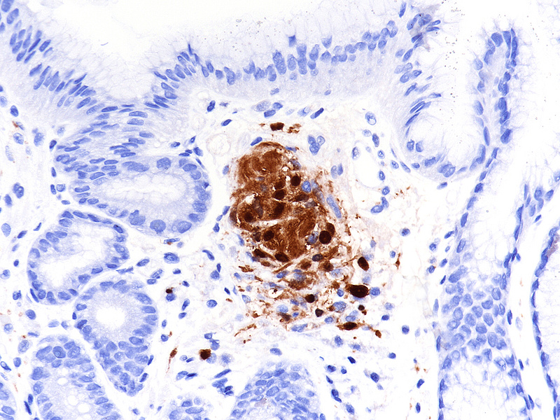
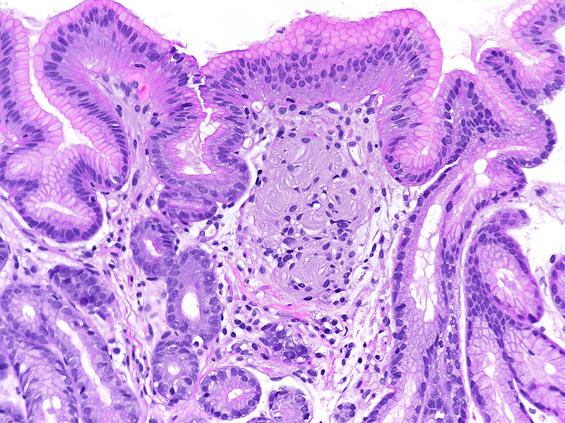
Histologically, we saw mild chronic inactive HP-negative gastritis of the antrum and corpus mucosa. Moderate atrophy and moderate predominantly complete, but also incomplete intestinal metaplasia were present in the antrum. Within the upper lamina propria an unencapsulated cluster of lamellated and concentrically arranged spindle cells with eosinophilic cytoplasm and peripherally placed nuclei was identified (Panel A). The lesion was positive for S100-protein (Panel B), prompting diagnosis of tactile corpuscle-like body or Wagner-Meissner corpuscle.

Wagner-Meissner corpuscles are specialized nerve endings with Schwannian differentiation. These mechanoreceptors are found in the skin and in sensitive mucosal surfaces, but not in the gastrointestinal tract. Various terms have been used to describe structures with the same morphology as Wagner-Meissner corpuscles, including Wagner-Meissner bodies, pseudo-Meissner corpuscles, Meissneroid corpuscles, tactile corpuscle-like bodies, tactoid bodies, and Pacinian-like corpuscles (Celeiro-Muñoz et al.) Within the gastrointestinal tract, these corpuscles represent an extremely rare incidental finding that may encounter in both stomach and bowel. Lesions are usually smaller than 1 mm in size. Their histogenesis is unclear, but the association with chronic inflammatory conditions may suggest a reparative-type process. Recognition of this rare finding is important to prevent misdiagnosis and potential overtreatment.

For further reading

  • Reale D, Ballotta MR, Borghi L, Lisato LC, Rasi A, Menegatti MT. Wagner-Meissner-like corpuscles in gastric mucosa: a brief report. Int J Surg Pathol. 2014; 22: 544-6. doi: 10.1177/1066896914525227.
  • Celeiro-Muñoz C, Huebner TA, Robertson SA, Pittman ME, Singhi AD, Arnold CA, Bhaijee F, Voltaggio L, Montgomery EA. Tactile Corpuscle-like Bodies in Gastrointestinal-type Mucosa: A Case Series. Am J Surg Pathol. 2015; 39: 1668-72. doi: 10.1097/PAS.0000000000000480.
  • Huber AR, Agostini-Vulaj D, Drage MG, Lemmon JW. Tactile Corpuscle-Like Bodies (Wagner-Meissner Corpuscles) of the Colorectum: A Series of 5 Cases. Int J Surg Pathol. 2017; 25: 684-7. doi: 10.1177/1066896917723982.

Presented by

Dr. Ana Varelas, Porto, Portugal, and Dr. Cord Langner, Graz, Austria.