Lehre Kinderradiologie

A new approach to diagnostic imaging: interactive radiology education for the future

Teaching radiology and nuclear medicine requires a deep understanding of complex imaging. However, traditional methods such as lectures or static case discussions often reach their limits here: students usually remain passive observers whilst a single image is projected onto the wall. Genuine interaction, as required in everyday clinical practice, hardly ever takes place.

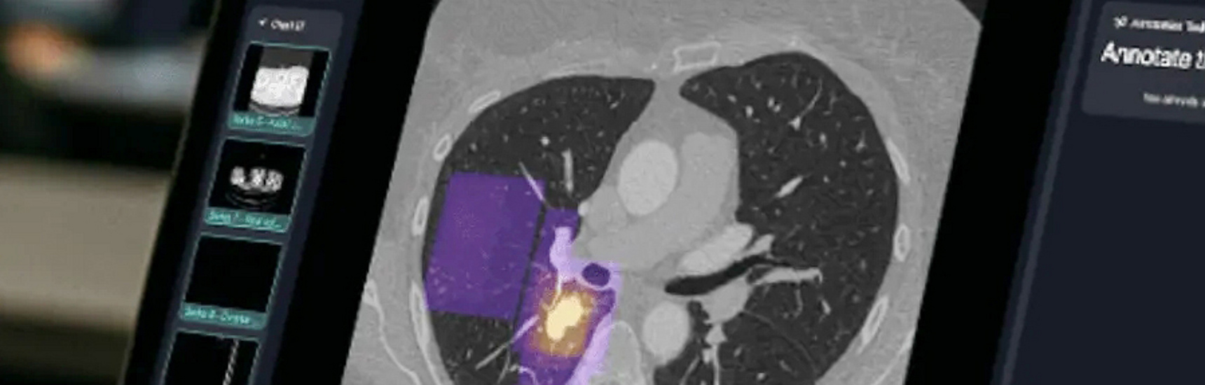
This is precisely where the award-winning project “Redefining Diagnosis: Interactive Radiology Teaching for the Future” comes in. “We want to take the crucial step from passive observation to active, diagnostic analysis,” says Sebastian Tschauner, Head of the Division of Paediatric Radiology at the Medical University of Graz. The centrepiece of the project is the implementation of the newly developed, web-based platform rapmed.net into the teaching of the “Imaging and Biostatistics” module. The application has recently made it possible to take the next evolutionary step: complex cross-sectional imaging techniques such as CT and MRI are distributed in real time by the lecturer to the devices of all students in the room. Students can log in via a QR code and work on the case presented on their own smartphone, tablet or laptop – as if they were sitting at a real small workstation. They can scroll through the layers of the respective examination, mark pathological changes directly in the image and submit their suspected diagnosis via interactive quiz formats. 

Real-time feedback and ‘gamification’ elements, such as a consensus map showing the areas of an examination where the majority of students suspect a pathology, make the learning process dynamic and motivating. Both lecturers and students can explore the characteristic findings and features of a disease in greater detail. This not only promotes the recognition of clinical pictures but also trains diagnostic competence in a practical and sustainable manner. The project is more than just the implementation of new software. It is a comprehensive didactic concept that also puts several objectives of the university’s strategy into practice.

In a pilot phase, the platform will be gradually implemented into the existing seminar units of the PM XVII module in human medicine. These units are taught on a case-by-case basis and were previously delivered using a voting system, which is now being replaced by the new software. Following successful implementation, the format will be available to over 300 students per semester as part of the compulsory curriculum. In the medium term, this will result in an even more modern, flexible and, above all, interactive radiology curriculum that prepares our future doctors as effectively as possible for the challenges of everyday clinical practice.