ENGIP

November 2022

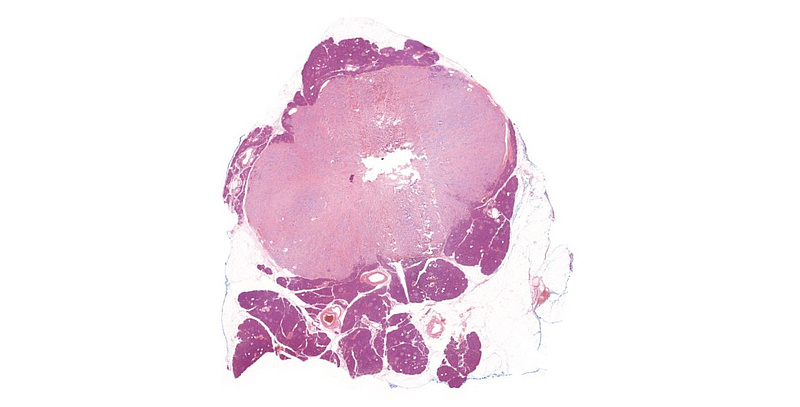
Distal resection of the pancreas in a 65-year-old female.

Diagnosis

Insulinoma.

Comment

A 65-year-old female patient presented with episodes of loss of consciousness attributable to hyperinsulinemic hypoglycemia. Computerized tomography (CT) and magnetic resonance imaging (MRI) were performed and showed a well-defined lesion central calcification, 15 mm in largest diameter, within the tail of the pancreas. Although the lesion was generally considered benign, surgical removal was suggested because of the patient’s symptoms.

Macroscopic examination revealed a well circumscribed, slightly lobulated, whitish-yellowish tumor, corresponding to the tumor identified by CT and MRI.

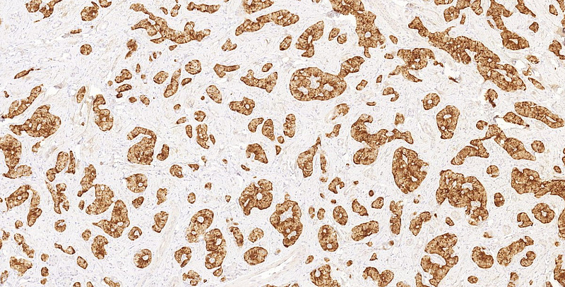
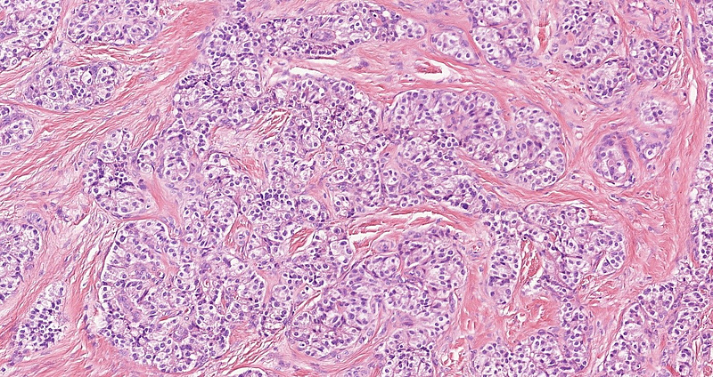
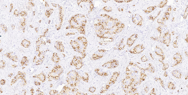
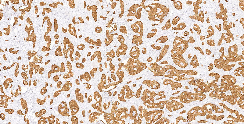
On low power, we noted a nest-forming, occasionally rosettoid tumor with expansive border (Panel A). The tumor cells were monomorphic with ample, eosinophilic cytoplasm, salt-and-pepper chromatin and occasional inconspicuous nucleoli. Mitoses were not observed. No necrosis. The stroma of the tumor consisted of exuberant, dense, hyalinic collagen with central calcification (Panel B). No lymphovascular or perineural invasion was identified. Immunohistochemistry revealed a diffuse cytoplasmic positivity for synaptophysin (Panel C), perinuclear dotlike positivity for chromogranin-A (Panel D) and diffuse cytoplasmic positivity for Insulin (Panel E). The Ki-67 labelling index was less than 1% (Panel F). 

Based on morphology and immunophenotype (in conjunction with the available clinical information), the case was signed out as insulinoma (pancreatic neuroendocrine tumor, grade 1). Since the surgery, the patient’s glucose, insulin and chromogranin levels are regularly checked and monitored. Unconscious episodes did not occur since thence.

Insulinoma is a rare, functioning neuroendocrine neoplasm of the pancreas, with a prevalence of 1 to 4 per million. The peak incidence is in the 6th decade and it is observed more common in females. Although the pathogenesis is uncertain, multiplicity always has to raise suspicion for multiple endocrine neoplasia-1 (MEN-1) syndrome or insulinomatosis. Extrapancreatic insulinomas are rare and may be found in duodenum, duodenohepatic ligament or spleen.

Owing to the unregulated insulin secretion, hypoglycemia, dizziness, palpitations, tremor, seizures and loss of consciousness are common clinical symptoms. Clinically, these symptoms are not specific for diagnosis of insulinoma. The following disorders or conditions need to be excluded: persistent hyperinsulinemic hypoglycemia of infancy (PHHI), non-insulinoma pancreatogenous hypoglycemia syndrome (NIPHS), sulfonylurea-induced hypoglycaemia, post-gastric bypass hypoglycaemia, and factitious use of insulin.

Patient history, biochemical testing and imaging techniques are crucial for diagnosis, and the gold standard has been the 48-72-hour monitored fast for diagnosing insulinoma. During this examination, blood glucose level, serum insulin level, proinsulin and C-peptide are measured. Regarding imaging techniques, CT and MRI are favored.

The pathological differential diagnosis includes other types of neuroendocrine tumors (functioning, e.g. glucagonoma, or non-functioning), but also the solid pseudopapillary neoplasm. Around 10% of insulinomas may give rise to metastasis, mainly spreading to regional lymph nodes, with MEN-1 syndrome and male gender being risk factors.

For further reading

  • Service FJ, Molly MM, Peter CO. Functioning Insulinoma - incidence, recurrence, and long-term survival of patients: a 60-year study. Mayo Clin Proc. 1991; 66: 711-719.
  • Finlayson E, Clark OH. Surgical treatment of insulinomas. Surg Clin North Am. 2004; 84: 775-785.
  • Shin JJ, Gorden P, Libutti SK. Insulinoma: pathophysiology, localization and management. Future Medicine. 2010; 6: 229-237.
  • Iglesias P, Díez JJ. Management of endocrine diseases: a clinical update on tumor-induced hypoglycemia. Eur J Endocrinol. 2014; 170: R147-157.
  • Garg R, Memon S, Patil V, et al. Extrapancreatic insulinoma. World J of Nuc Med. 2020; 19: 162.
  • Giannis D, Moris D, Karachaliou GS, et al. Insulinomas: from diagnosis to treatment. A review of the literature. J BUON 2020; 25: 1302-1314.
  • Peltola E, Hannula P, Huhtala H, et al. Long-term morbidity and mortality in patients diagnosed with an insulinoma. Eur J Endocrinol. 2021; 185: 577-586.

Presented by

Almakrami Mohammed and Dr. Anita Sejben, Szeged, Hungary.