ENGIP

The “Case of the Month” Library is an online-only service dedicated to rare diseases and potential pitfalls in diagnostic histopathology. It aims at presenting selected entities, thereby illustrating the standard of care in challenging diagnoses.

Members are encouraged to submit teaching cases to the coordinators via the central email address. All case presentations should follow a corporate design including a self-explanatory comment and few references providing additional information. In all, the explanatory text (comment and references) should not exceed 250 words. The name of the author will be given at the end of the presentation.

Cases are put online under the coordinators’ discretion. By presenting the case on the web, the copyright of the images is automatically transferred to the European Network of Gastrointestinal Pathology (ENGIP). If you wish to use the images in presentations, print or digital media for the purpose of research or teaching, you are welcome to do so under the provision that credit is given to ENGIP (© ENGIP).

ENGIP

May 2026

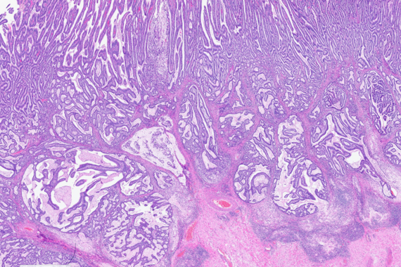
Gastric biopsies in a 43-year-old female, following Helicobacter pylori eradication.

To the Case

Case of the Month-Archive: ordered by anatomic sites

Stomach

Small Bowel

Large Bowel